Exploring Microgravity
Together
Why Microgravity Matters ?
Microgravity reveals biological behaviors that remain inaccessible on Earth.
Removal of gravitational forces transform organoid and disease modeling,
uncover novel therapeutic targets and accelerates drug discovery.
Removal of gravitational forces transform organoid and disease modeling,
uncover novel therapeutic targets and accelerates drug discovery.
A Collaborative Platform
Unlocking Microgravity Research
ALATYR provides a unique microgravity research platform in the Paris area, enabling partners to explore a wide range of scientific and industrial applications.
Contact us
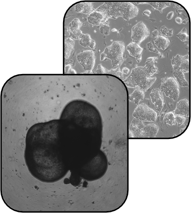
Biological Models

Compatible with organoids,
tumoroids, plants,
micro-organisms,
3D and 2D cell culture
tumoroids, plants,
micro-organisms,
3D and 2D cell culture

Simulated Microgravity
RPM & Algorithm developed by ALATYR.
Compatible with multiple screening strategies
Compatible with multiple screening strategies

Data Collection
& Analysis
& Analysis

Broad range of biological analyses including imaging, cellular assays and multi-omics analyses
Applications
Oncology

Cardiovascular

Neuroscience

Immunology

Antimicrobial resistance

Dermatology

ALATYR partners with global pharmaceutical and leading research institute
Missions
From ground-based microgravity simulation to in-orbit experimentation.




CASAT
October 2025
ALATYR was sponsored by the CNES and executed a first parabolic flight mission to test CASAT: an automated mini-laboratory for organoid culture and fluorescence microscopy analysis.





NewT-0N
January 2026
ALATYR’s first biology payload reaches space! In less than six months, our team designed, built, and qualified a fully automated orbital mini-laboratory, taking it from concept to flight in record time.



